.jpg)
1150112四十五歲女小腸套疊如望遠鏡 揪出罕見「Vanek腫瘤」元凶 腹痛月餘莫輕忽!成人腸套疊 約有九成是由特定的病理病灶引起
一位45歲的女性患者王女士,一個多月以來飽受腹部疼痛與胃痛困擾,經診斷為小腸套疊,套疊得如望遠鏡,卻驚人發現腸套疊的元凶,竟是小腸黏膜下層一顆三公分罕見的Vanek腫瘤。平等澄清醫院一般外科王志浩醫師表示,Vanek腫瘤因其生長位置與特性,常會引發嚴重的腸套疊,若不及時處理,恐引發腸道缺血壞死或穿孔危及生命。
這位患者不但持續腹部疼痛與胃痛,並伴隨明顯的腹部飽脹感,曾多次前往不同診所求醫並嘗試藥物治療,但症狀始終反覆,未見根本改善,直到近日疼痛指數劇烈飆升至5分,並出現嘔吐與腹瀉症狀,才緊急前往平等澄清醫院求醫。
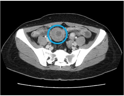
收治該患者的腸胃科黃一修醫師表示,患者的腹痛並非一般胃炎,經安排腹部電腦斷層檢查,影像顯示小腸出現「標靶徵象」,診斷為「腸套疊」。立即啟動跨科會診,將患者轉由一般外科王志浩醫師接手,進行緊急微創手術治療。
一般外科王志浩醫師隨即施行「腹腔鏡部分小腸切除術加吻合術」。術中發現,在距離迴盲瓣約150公分處,一段小腸竟然像收納望遠鏡一般,套入了另一段遠端腸道中。而這場腹內災難的元凶,是一個位於小腸黏膜下層、大小約 3x3公分的堅硬腫塊,它充當了套疊的「引導點」,導致腸道蠕動時將自身捲入。
王志浩醫師指出,該3x3公分的堅硬腫塊是Vanek 腫瘤,檢體顯示該腫瘤為「發炎性纖維類息肉」,臨床上又被稱為 Vanek 腫瘤。顯微鏡下觀察到腫瘤由梭形至星狀細胞組成,並伴隨明顯的嗜酸性白血球浸潤。所幸經進一步化驗,該Vanek 腫瘤並非具惡性潛能的「胃腸道間質瘤」,而是良性的間質細胞病灶。
Vanek 腫瘤雖然罕見且屬良性,王志浩醫師表示,因其生長位置與特性,常會引發嚴重的腸套疊。幸好透過手術完整切除後,預後極佳且幾乎不會復發。黃一修醫師也提醒大眾,若出現長達一個月以上、反覆發作且藥物難以緩解的腹痛,千萬不可掉以輕心。
成人腸套疊與幼兒不同,約有九成是由特定的病理病灶引起,需跨科醫療合作。此個案先由腸胃科醫師及時揪出病灶,再由外科醫師以微創技術精確移除。您可以將腸套疊想像成一件捲入碎紙機的襯衫袖口:那顆 3公分的腫瘤就像是一顆不小心縫在袖口內的「硬釦子」,當腸道試圖推進時,釦子卡住了導致後方布料捲入。現在「釦子」已取下,受損的「布料」也已修補,患者的腸道交通已徹底恢復通暢。
.jpg)
